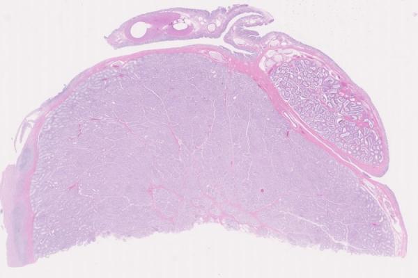
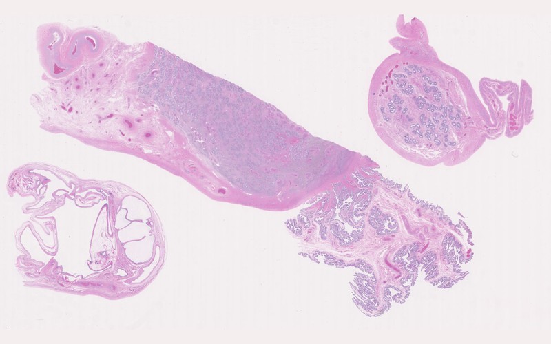
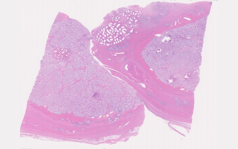
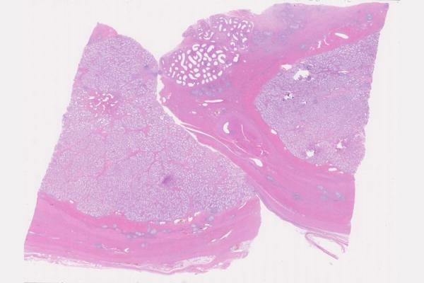
Mystery Case 2014

AIPVet

Associazione Italiana di Patologia Veterinaria

L'Associazione ha carattere scientifico, persegue scopi culturali, promuovendo in autonomia e indipendenza attività di ricerca, studi e convegni su tematiche di Patologia Generale e Anatomia Patologica Veterinaria e su argomenti a queste correlati.

Ultime News

Privacy & Cookie Policy

Search

Utilizziamo i cookie per rendere migliore la tua esperienza sul nostro sito.